Thursday, June 30, 2011

Our Homes Must Be a Place of Refuge


"In a world of turmoil and uncertainty, it is more important than ever to make our families the center of our lives and the top of our priorities. . . .

"We need to make our homes a place of refuge from the storm, which is increasing in intensity all about us. Even if the smallest openings are left unattended, negative influences can penetrate the very walls of our homes."

Wednesday, June 29, 2011

The Surgery Part 2

Once they have inserted the instruments, they will fill the stomach cavity with carbon dioxide so that they can inflate the stomach and have room to explore. Once that is done they will in essence check everything out to make sure it all looks goods. They will make sure all your parts are all there and look healthy.

Checking the validity of the tubes is probably one of the easiest things to check. They will perform a test similar to a saline sonogram but they will do it with at colored dye. This way as the fluid flows into the tubes they will be able to see if it will pour out into the stomach cavity or if it will balloon up and show a blockage. If there is a blockage they will move onto the next step, which would require removing the blocked tube.

To remove a tube this requires the use of an extra incision. This allows them to insert the tool they will need to cauterize, cut and remove the tube. This incision is usually about an inch long. Here are a few pictures that show the incision, a bad tube and what a good tube should look like:

The incision

The ballooned fallopian tube

A healthy tube. As you can see below the tube is a bluish liquid. This liquid spilled out and whereas with the unhealthy tube the liquid stayed in the tube.
These pictures are actually taken from my own laparoscopic surgery and if you have any questions about the processes don’t hesitate to ask.

Tuesday, June 28, 2011

The surgery


What exactly is laparoscopic surgery?

“Laparoscopic surgery also referred to as minimally invasive surgery describes the performance of surgical procedures with the assistance of a video camera and several thin instruments. During the surgical procedure, small incisions of up to half an inch are made and plastic tubes called ports are placed through these incisions. The camera and the instruments are then introduced through the ports which allow access to the inside of the patient.

The camera transmits an image of the organs inside the abdomen onto a television monitor. The surgeon is not able to see directly into the patient without the traditional large incision. The video camera becomes a surgeon’s eyes in laparoscopy surgery, since the surgeon uses the image from the video camera positioned inside the patient’s body to perform the procedure.” (http://www.surgery.usc.edu/divisions/tumor/pancreasdiseases/web%20pages/laparoscopic%20surgery/WHAT%20IS%20LAP%20SURGERY.html)

When dealing with infertility, after being put under general anesthesia, the surgeon will make an incision right above the pubic bone and one in the belly button. They will then insert their surgical equipment including the camera and their exploratory probe. This is the first step of the surgery.

Monday, June 27, 2011

Getting ready for the surgery

The first thing that happens is that your fertility doctor will send you to a surgeon or back to your OBGYN to have this surgery completed. Most Fertility doctors can do this in house but since it is usually billed to insurance under infertility and where most insurance won’t cover anything that deals with infertility, it is best to be seen through your regular family doctor of OBGYN. The next step once you have met with your doctor is to schedule the surgery. Depending on where the surgery is done this can be as simple as next week or it can take as long as 3 months to get a time set but it usually scheduled around days 5-12 (once you are done with your period but before you ovulate)

The doctor/surgeon may have more blood test preformed to make sure that you are healthy enough for surgery and they will also go over exactly what is going to happen during the surgery. This is a time for you to get your questions answered, have your fears calmed and get to know the person that you will be entrusting your body too. This pre appointment I feel is very important for your spouse to attend because he will be the one who will be supporting you through this as well as the one in the waiting room. He needs to know what is going as well as you so that he can have peace about it as well as know how to help you best.

In preparing for this surgery, I would request 2-3 day off of work to have this done. Recovery is should only take a couple of days but since everyone handles it a little different it is best to be prepared to take as much time as you need.

Sunday, June 26, 2011

Laparoscopic Surgery

Once you know what is going on with your body it’s time to treat it. There are different measures and methods that can be taken to treat infertility but this week I would like to focus on the option of laparoscopic surgery. This is a very common procedure that is done to help get a better understanding of what is going on in a woman’s body.

This surgery is commonly done for women who have tubal issues, may have endometriosis, or may have polyps. This surgery can also be done as an exploratory surgery to make sure that all the parts are working.

I will cover the pre-surgery, the surgery, and the post-surgery.

Saturday, June 25, 2011

Scar tissue


Infections in the reproduction area can cause huge problems when dealing with infertility. It can cause problems in more than just the tubes. Scar tissue can make it hard for the eggs to travel through the tubes, attach to the wall of the uterus, and even cause problems with your menstrual cycle.

“Pelvic scar tissue and adhesions is usually caused by pelvic infection, such as pelvic inflammatory disease (PID), or by pelvic endometriosis.” (http://www.advancedfertility.com/pelvicscar.htm)

Friday, June 24, 2011

Ovarian Cysts and Infertility


A cyst is something that can form anywhere on the body and can cause many different types of problems. When it comes to fertility cysts are most commonly found on the ovaries. There can be many cysts that form or there may just be one or two. These cysts can also be as small as the tip of a needle or as big (or bigger in some cases) as a grapefruit.

They Mayo clinic gives a good description of what a cyst is and how they are formed:

“Ovarian cysts are fluid-filled sacs or pockets within or on the surface of an ovary. The ovaries are two bilateral organs — each about the size and shape of an almond — located on each side of your uterus. Eggs (ova) develop and mature in the ovaries and are released in monthly cycles during your childbearing years.

Many women have ovarian cysts at some time during their lives. Most ovarian cysts present little or no discomfort and are harmless. The majority of ovarian cysts disappear without treatment within a few months.

However, ovarian cysts — especially those that have ruptured — sometimes produce serious symptoms. The best way to protect your health is to know the symptoms and types of ovarian cysts that may signal a more significant problem, and to schedule regular pelvic examinations.” (http://www.mayoclinic.com/health/ovarian-cysts/DS00129)

Cysts can affect fertility because they can prevent the ovary from forming fully developed eggs to be released. This can lead to anovulation and infertility.

Thursday, June 23, 2011

Mother Teresa an example of streangth.

This is probably one of my favorite quotes from Mother Teresa states ““I know God will not give me anything I can't handle. I just wish He didn't trust me so much.”
(http://thinkexist.com/quotes/mother_teresa_of_calcutta/)


There are times when we are asked to do a lot or that we are asked to carry a heavy burden and I truly believe that what doesn’t kill you makes you stronger. There have been times in my life when I don’t feel like I can carry or do all that I am asked to do, but every time I feel that way the lord has always been there to help me make it through.

There is a new song that I heard today that I think fits perfectly with this topic. It is sung by Mathew West :



Wednesday, June 22, 2011

Endometriosis


When I think of endometriosis, it makes me think of poisonous moss; something that grows where it shouldn’t and shoots out poison from its pores. Ok maybe that is a bit dramatic but that is how I view it. Endometriosis is a condition where the endometrial (the uterus) lining starts to grow in places that it shouldn’t. It can make getting pregnant very difficult as well as can make having your period a real pain!

“Endometriosis is a condition in which the tissue that behaves like the cells lining the uterus (endometrium) grows in other areas of the body, causing pain, irregular bleeding, and possible infertility. The tissue growth (implant) typically occurs in the pelvic area, outside of the uterus, on the ovaries, bowel, rectum, bladder, and the delicate lining of the pelvis. However, the implants can occur in other areas of the body, too.” http://www.ncbi.nlm.nih.gov/pubmedhealth/PMH0001913/

This is actually a very common problem in women and is something that doctors are not 100% sure why it happens. There are also varying degrees of endometriosis where one woman may have more endometriosis than another.

http://www.ncbi.nlm.nih.gov/pubmedhealth/PMH0001913/

Hydrosalpinx

Hydrosalpinx are something that can completely render someone infertile because they prevent the egg from ever reaching the uterus and from the sperm meeting up with the egg. The Fertility Specialists of Texas give a good description of what a hydrosalpinx actually is:

“A hydrosalpinx is a fallopian tube that is filled with fluid. Injury to the end of the fallopian tube, the ampulla, and its delicate fingers, the fimbria, causes the end of the tube to close. Glands within the tube produce a watery fluid that collects within the tube, producing a sausage shaped swelling that is characteristic of hydrosalpinx.” (http://www.fertilitytexas.com/pages/hydrosalpinx)

Monday, June 20, 2011

What is a polyp?

Polyps are these mystery growths that can grow on the inside of the uterus. They can come and go and grow or shrink.
Here is a good definition of a polyp:

“Uterine polyps are growths attached to inner wall of the uterus and protruding into the uterine cavity. Overgrowth of cells in the lining of the uterus (endometrium) leads to the formation of uterine polyps. The sizes of uterine polyps range from a few millimeters — no larger than a sesame seed — to several centimeters — golf ball sized or larger. They are attached to the uterine wall by a large base or a thin stalk.” http://www.mayoclinic.com/health/uterine-polyps/DS00699.

Sunday, June 19, 2011

The results

Once the uterus has been looked at by every angle using ultrasound or x-ray, the next step is to talk to your doctor to understand the results and what is next in the plan. If everything looks normal next step is likely to be fertility drugs and possible insemination. If there were abnormal results, then the next step would be to care for those abnormalities.

This week I will be discussing polyps and hydrosfinxed fallopian tubes and the treatments for these conditions.

Saturday, June 18, 2011

Sonohysterography

The last big test that your doctor can order to check out the uterus is called a sonohysterography. This test is similar to the HSG test but without the iodine and without the x-ray machine.

With this exam they are focusing mostly on the uterus, its shape, and how the inside of the uterus looks. They are looking for any abnormalities with the uterus.

After the doctor has filled the uterus with the saline solution they then preform a vaginal ultrasound. This allows the doctor to see if there are any abnormalities. It is a fairly simple procedure but they do suggest that you take some ibuprofen for the cramping that can come from this test.

Here are some pictures of results of this ultrasound.

This is what a normal uterus looks like:

This picture actually hits close to home because you are looking at my Sonogram results. As you can see it shows that I had a polyp at the end of my uterus. So this would be considered an abnormal uterus.

Friday, June 17, 2011

Simple moments


There are simple things that happen in one’s life that can really turn a day around. It can be as simple as a smile, a sunny day, or a cuddly dog. Today I’m going to keep this short because I think it is important to remember the simple good things in life, especially when dealing with things that make life so complex.

Thursday, June 16, 2011

HSG Results

When you go in for your hysterosalpingogram (HSG) exam, this is what the room may look like. They will have you lay on a table that looks very much like this one. Most doctors will order you to go to a imaging center as they will not have this type of x-ray in their office.


http://www.lakesdhb.govt.nz/Article.aspx?ID=5819

If you were to see your insides, this is what it would look like when they are inserting the catheter tube into your uterus. This allows them to insert the iodine solution that they will be pushing through your uterus and fallopian tubes.

https://blogger.googleusercontent.com/img/b/R29vZ2xl/AVvXsEiZ9sPnPPxZ7iFwg6tC_ked735Lt-iP6LLsB40P2woUgVa1m6f9vX0zVGA0XtV7O5dIGW39geFIrjYN9pWYjWefWo9SgS3-kMhgXVysb93zFKZJdKIBVZ5KJp5sTXbiCnD7sbH9qzgkxGMx/s1600/hsg+1.jpg

These are the results of the HSG test. If all is normal, the dye will leak out of the tubes and into the abdominal cavity as seen in this picture:


http://www.ivf1.com/hsg-hysterosalpingogram/

 If the tubes are blocked it is called a hydrosfinx and would look like this:

http://www.dfwivf.com/fertility-test-hsg.html

I thought this was a good comparison:
http://findmeacure.com/2009/05/17/hysterosalpingogram-hsg/




Wednesday, June 15, 2011

Can you say Hysterosalpingogram... neither can I.

Another test that your doctor may have you complete, if everything looks normal from the pelvic and tranvaginal ultrasound, is a hysterosalpingogram or know as an HSG test.

This test takes a better look at the fallopian tubes and the inside of the uterus. Webmd.com gives a good description of how they perform this test.

“During a hysterosalpingogram, a dye (contrast material) is put through a thin tube that is put through the vagina and into the uterus. Because the uterus and the fallopian tubes are hooked together, the dye will flow into the fallopian tubes. Pictures are taken using a steady beam of X-ray (fluoroscopy) as the dye passes through the uterus and fallopian tubes. The pictures can show problems such as an injury or abnormal structure of the uterus or fallopian tubes, or a blockage that would prevent an egg moving through a fallopian tube to the uterus. A blockage also could prevent sperm from moving into a fallopian tube and joining (fertilizing) an egg. A hysterosalpingogram also may find problems on the inside of the uterus that prevent a fertilized egg from attaching (implanting) to the uterine wall. See a picture of a hysterosalpingogram.” (http://www.webmd.com/infertility-and-reproduction/guide/hysterosalpingogram-21590)

From personal experience, I did not care much for this test. First, it’s just uncomfortable and second it is a bit painful. I guess that is why they tell you to take a couple of aspirin before you have the test done. It’s uncomfortable because they balloon up your uterus with the iodine mixture to see the structure of it. Plus they keep pushing the liquid through till it starts to go through the fallopian tubes.

One thing that was really interesting is that I could see the image of my uterus on the screen next to me and the radiologist was good to explain what was going on. Also the since the radiologist was the one preforming the test, I was able to get the results of the test right then. I learned that I had a blocked fallopian tube and on the screen it ballooned up while the other tube the liquid drained right out.

One thing I would suggest is if you are at all allergic to Iodine, let them know this. There is a different solution they can use or they may have you not do the test at all. It is better to not do the test then end up sick.

Tomorrow I will post pictures of what a HSG test looks like.

Tuesday, June 14, 2011

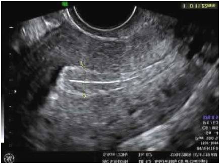
The Uterus

One of the biggest things that ultrasound will be looking for is the shape of the uterus. I have included some ultrasound images of a normal uterus:




Ultrasounds of Abnormal uterus's:

This is a Subseptate Uterus


This is a Uterus with a very big fibroid attached to it.

These are a little extreme but I think it helps to see what is extreme so that you can have something to measure against. Also it helps to see what is normal before going so that if it look similar, unless told otherwise, you won't have anything to worry about.

Monday, June 13, 2011

Ultrasounds

As mentioned earlier on in the year, doing a blood test is usually the first test that they will run to see what is going on. They want to make sure that all your hormones are in balance and they are not part of the problem.

The next thing they will do is order an ultra sound. They do this so they can check to make sure you have all the parts needed, also it is done to see if they are shaped the way they are supposed to be shaped. The doctor will probably have the ultra sound tech complete a pelvic ultra sound and a Transvaginal ultrasound.

When going to this ultrasound appointment, they will have you drink at least 32 ounces of water the hour before you go in because this fills up your bladder and allows them to see your organs better. They will do the pelvic ultrasound first as your bladder is full. They will have you undress from the bottom down and then cover up with one of those very flattering paper towel things. Then they will have you lie on your back and put this jelly stuff on your lower abdomen. If the ultrasound tech is nice they should allow you to see what is going on and what they are looking at. Now they can’t tell you if anything is wrong and really they are not supposed to tell you anything about it because it is up to your doctor to diagnose.

Once they are done with the pelvic exam they will have you empty your bladder and then do the transvaginal ultrasound. This part can be very uncomfortable because they have this ultrasound wand that is probably about the size of two super size tampons. Once it is inserted they will move it around to get a better view of the ovaries and the uterus. Don’t hesitate to tell them if it is too uncomfortable or if they are hurting you. It shouldn’t be super painful just uncomfortable. Also you may experience some slight bleeding or spotting afterword.

Once the ultrasounds are completed they will send the results to your doctor’s office who will contact you with your results. They will let you know from there what the next steps are.

Pelvic Ultrasound


Transvaginal Ultrasound 


Healthy Uterus Ultrasound




Sunday, June 12, 2011

The next step

Now that we know the history behind infertility, we’ve set our goals, we’ve started learn more about our bodies, have figured out our insurance, visited the doctor, completed our spiritual/emotional check up, and have found our support groups, it is now time to learn start getting tested and trying new treatments.

This month is going to be dedicated to talking about the different options with treatments, different prognosis, and what that means when it boils down to infertility. If there is anything that you would like me to talk about please don’t hesitate to ask!

I want to let you know that I am not a doctor and that all this information either comes from research that I have done or from things I have experience myself. I will be posting any references used at the bottom of each post.

Saturday, June 11, 2011

Be Happy!

The biggest thing I am trying to learn about all of this is to be happy and not to worry too much! Don’t forget the smile and enjoy life and everything that it has to offer us!




Friday, June 10, 2011

Crystal Ball

One of the things I wished I would have had when we started this journey was a crystal ball. It would have been wonderful to have been able to see what lied ahead for us and it may have calmed some of my fears.

At the same time, I am glad that we have gone through what we have because it has made us much stronger as a couple and as individuals.

Crystal ball by keane


Thursday, June 9, 2011

Beautiful to him

This is a beautiful song and it brings tears to my eyes almost every time I hear it. This is a song that talks about being beautiful to our heavenly father. As women it is easy to get caught up in everything that people say about us and about what we should be doing in our lives. Focusing on a heavenly approval and knowing that our father in heaven loves us dearly, can help guild us through our times of trial.

Beautiful to him by Rachel Thibodeau.

Wednesday, June 8, 2011

A little Crazy!

When dealing with infertility I feel like at times that I am going a bit crazy with all the procedures, the different possibilities, the waiting and having to be patient. It can be nerve racking! A couple of years when this song came out I felt that it was very fitting for where I was at with our infertility treatments.

We had just started taking clomid and I think Robert probably thought that I was crazy because of all my hormonal changes and mood swings and I thought that I was going to go crazy because of all the hot flashes and the negative pregnancy test.

This song “Crazy” by Gnarls Barkley came a time that I needed a song with a good beat and something I could release some energy on by singing it at the top of my lungs.


So the quality of this video and the version of the song wasn't what I hoping for but I think it till give an ok impression of this song.

Tuesday, June 7, 2011

Hold on

This is a song by TobyMac called Hold on. The story behind this song is very sweet because Toby said that his wife was going through a hard time and so he wrote this song to let her know that it would all be alright. She just needed to hold on a little bit longer and to lean on him for support.

This is something that helps me lean on my husband a little bit more; know that the sun will shine and that the rainbow comes after it rains.


Monday, June 6, 2011

A week of music

Music is one of the things that has helped me immensely throughout our fertility journey. It is amazing how the right song can help you get through a very difficult time. This week I would like to dedicate to music. I will be posting a song each day that I find are either helpful or just a good song.

I strongly encourage you all to create a playlist with some of your favorite songs that you can turn to when you need that little pick-me-up. I understand what may mean something to me, won’t mean the same for someone else but I don’t mind sharing. :)

Sunday, June 5, 2011

Listening to impressions


As I was reflecting over some of our life decisions, it made me grateful for pray and the guidance of Holy Ghost. This guidance has affected our lives in every way I can possibly think of. It was what helped me know that marring Robert was the right thing to do as well as it guided us to start trying to have a baby. 

We have been guided in so many different directions that it make me extremely grateful that this journey is not something that we have to do alone. If we ask, help will be there and if we listen we will not be led astray. 

Saturday, June 4, 2011

Positivity


One of the biggest things that I have learned through this process is that if you always look for the negative in a situation that is all you will see. Infertility is not an easy trial and it is to dwell on that which we don’t have, on pain that we feel, and longing we have for children. These emotions are real and need to be dealt with but not allowed to consume us.

That is why I love finding things that we can find joy in. It take effort to be happy in a time when everything seems to be pushing against us, but that effort is well worth because “Adam fell that men might be; and men are, that they might have joy.” (2 Nephi 2:25)

I pray that we may learn to find the joy in this trial and that through that joy we may be a happier people.

Friday, June 3, 2011

Appreciating Parenthood


Someone once said that we appreciate more the things that we have to wait for. Now I’m not saying that those Fertile Meryl’s aren’t appreciative of their children but I think that there is something that changes in us as women when we have to wait for that desire of our heart.

I think we may be a bit more patient or we may be a bit more prepared for the challenges of child rearing. Whatever that change or whatever the lessons we may learn while getting to the point where we are going to be parents, as a couple, embracing parenthood and understanding its challenges and its blessings will helps us find the joy in this trial of infertility.

Thursday, June 2, 2011

Finding Joy in the little things


It is amazing how something can make you smile and just touch your soul when times aren’t going the exact way we had plan.

I love this song because it can be viewed from either the perspective of someone in love or that of Jesus. Either way it brings me joy because we are all beautiful no matter how many children we can bear.

http://www.youtube.com/watch?v=xanNcJu2fcY

Wednesday, June 1, 2011

Creating New Dreams


We all hope that this infertility journey ends in having a beautiful healthy baby to hold in our arms and call our own. While this may be the case, the journey to get there will probably look different then we had first imagined.

I know for Robert and I, our dream included getting pregnant within 2-4 month of when we started trying to have a baby and then 9 months later we would be parents. Well after that 4 months turned into a year and the year turned in to 5 years, we decided that our dream needed to change a little.

Rather than spend our money on IVF, which for us was a very risky and dangerous procedure, we decided to take our energies and focus them in a new direction. We came to understand that we didn’t need to have biological children to grow our family but that we wanted to be parents even if that meant raising those not born from my womb.

Our dream of having our own biological children needed to change to make room in our hearts and in our minds for our children to come into our home through adoption.

Although your journey may end exactly how you planed it, understand that sometime you have to be open to a way that was not originally planned. It takes time but with that time will emerge a more patient and refined soul.